At Dr. Leslie Jacobs Pediatric Dentistry, we use modern digital dental X-rays to keep your child's smile healthy, safe, and bright.
Book an Appointment Today
A dental X-ray is a simple imaging tool that helps dentists see what is happening inside your child's teeth and gums. Many dental problems, like early tooth decay or issues with incoming teeth, are not visible to the naked eye. A dental X-ray helps us find these problems early so we can treat them before they become bigger issues.
At Dr. Leslie Jacobs Pediatric Dentistry in Lafayette, we take dental X-rays only when they are truly needed. Our goal is to give every child the most accurate diagnosis with the least amount of exposure possible.
Parents in Lafayette often ask us why their child needs a dental X-ray, especially when their teeth look fine. The truth is, a lot happens beneath the surface that only an X-ray can show.
We use pediatric dental X-rays to:
Cavities often start between teeth where a regular exam cannot reach. A dental X-ray allows us to catch decay at its earliest stage, which means less treatment and less discomfort for your child.
We use X-rays to check how your child's permanent teeth are developing under the gums. This helps us identify any teeth that may be growing in the wrong direction or not coming in at all.
Dental X-rays let us see the roots of teeth and the surrounding bone. This helps us spot infections, cysts, or other problems that would otherwise go undetected.
If your child may need braces or other dental work in the future, X-rays give us a clear picture of their dental structure to plan the best approach.
If your child has had a fall or a knock to the mouth, a dental X-ray helps us check for any damage to the teeth or bone that is not visible from the outside.
Different situations call for different types of X-rays. At our Lafayette pediatric dental office, we use the type that gives us the most useful information for your child's specific needs.
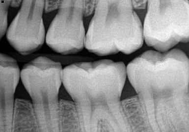
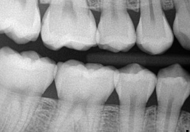
These are the most common type of dental X-rays for children. They show the upper and lower back teeth and are used to detect cavities between teeth. Bitewing X-rays are quick and comfortable, even for young children.

A periapical X-ray shows the entire tooth, from the crown down to the root and surrounding bone. We use this type when we need to look closely at a specific tooth or area of concern.

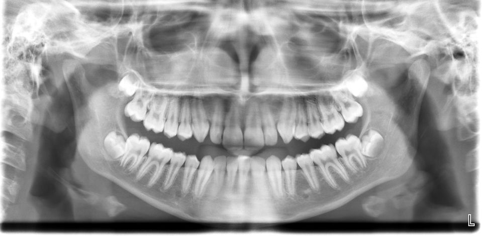
A panoramic X-ray captures a full view of all the teeth, jaws, and surrounding structures in a single image. The AAPD recommends a panoramic X-ray at two key ages. At age 6, it helps assess proper jaw growth and development, and allows us to check for missing, extra, or impacted teeth, as well as the presence of cysts or tumors in the jaws. At age 16, it helps determine whether wisdom teeth need to be removed.

These X-rays show the roof or floor of the mouth and are used to find extra teeth, teeth that have not yet come in, jaw fractures, or other concerns in younger children.
This is one of the most common questions we hear from parents in Lafayette, and it is a completely understandable concern. The short answer is yes. Dental X-rays for children are considered safe when performed by a trained pediatric dental professional using modern equipment.
Digital dental X-rays use a very small amount of radiation. In fact, children are exposed to more radiation from everyday activities than from a standard dental X-ray. We follow strict guidelines to keep exposure as low as reasonably possible.
We always use a lead apron and, when appropriate, a thyroid collar to protect your child's body during an X-ray. These are standard safety tools that provide an extra layer of protection.
Our Lafayette dental office uses digital X-ray technology, which produces significantly less radiation than older film-based X-rays. Digital X-rays also give us clearer, more detailed images, which means better care for your child.
We do not take X-rays on a routine schedule without reason. Each child is different, and we decide whether an X-ray is needed based on your child's age, dental health, and risk factors. We always discuss our recommendations with parents before taking any images.
There is no single answer that applies to every child. The frequency of dental X-rays depends on your child's individual oral health needs.
Children who are more likely to develop cavities or who have had dental problems in the past may need X-rays more often. Children with a lower risk and good oral health may need them less frequently.
At Dr. Leslie Jacobs Pediatric Dentistry, we follow the recommendations of the American Academy of Pediatric Dentistry (AAPD) to determine how often your child should have dental X-rays. We always take the most conservative approach and take X-rays only when the benefit clearly outweighs any risk. The American Academy of Pediatric Dentistry recommends that children begin cavity-detecting X-rays around age 3. After that, a cavity-detecting X-ray is generally recommended once a year to monitor your child's dental health and catch any decay early.
We know that unfamiliar experiences can feel stressful for young children. That is why our team at Dr. Leslie Jacobs Pediatric Dentistry works hard to make every visit as comfortable and calm as possible.
Here is what a typical dental X-ray visit looks like:
Step 1: A Friendly Welcome From the moment your child walks in, our team greets them warmly. We explain everything in simple, child-friendly language so they know exactly what to expect.
Step 2: Protective Gear We place a lightweight lead apron over your child to keep them protected. We make this part of the process feel easy and normal.
Step 3: Positioning Depending on the type of X-ray, we gently position the imaging device near your child's mouth. Most X-rays take only a few seconds.
Step 4: Quick and Comfortable The X-ray itself is fast, painless, and involves no needles or discomfort. We talk to your child throughout the process to keep them at ease.
Step 5: Review and Explain Once the images are ready, Dr. Leslie Jacobs will review them carefully and explain the findings to you in simple, clear language. We make sure you understand what we found and what the next steps are, if any.
The timing of a child's first dental X-ray depends on their individual development and oral health. The American Academy of Pediatric Dentistry recommends that children begin dental visits around their first birthday or when their first tooth appears.
Whether an X-ray is recommended at that stage depends on what the dentist observes during the exam. For example, if a child's teeth are touching and there is no way to visually inspect between them, an X-ray may be recommended at an early age to check for hidden decay.
At our Lafayette pediatric dental office, we carefully assess each child before recommending an X-ray. We never take X-rays simply out of routine. Every decision is based on your child's specific oral health picture.
There are many dental offices in the Lafayette area, but pediatric dentistry is a specialty. Not every dentist has the training, tools, or environment to make dental X-rays comfortable and safe for young children.
Here is what sets us apart:
Dr. Leslie Jacobs is a board-certified pediatric dentist with specialized training in treating infants, children, and teenagers. This means your child is in experienced, knowledgeable hands.
Our office is designed with children in mind. From the waiting room to the treatment area, everything is set up to help kids feel safe, calm, and even a little excited about their visit.
We use the latest digital dental X-ray technology to provide accurate, detailed images with minimal radiation exposure. Our equipment meets the highest safety standards.
We believe parents should understand everything that happens at their child's dental appointment. We explain our X-ray recommendations clearly and answer every question you have before we begin.
We are proud to be a trusted part of the Lafayette community. Families across the area rely on us for compassionate, expert pediatric dental care, including safe and gentle dental X-rays for children of all ages.
Yes. When performed by a trained pediatric dentist using digital X-ray equipment and proper protective gear, dental X-rays are considered safe for young children, including toddlers. We only recommend X-rays when they are clinically necessary and when the benefit is clear.
The amount of radiation from a digital dental X-ray is very small. Digital technology has significantly reduced radiation compared to traditional film X-rays. The dose is far below levels that are associated with any health risk.
In most cases, parents are welcome to stay close to their child during the appointment. If you are pregnant, we may ask you to step back from the imaging area as a precaution. Our team will always let you know what to expect.
No. Dental X-rays are completely painless. Your child will not feel any sensation during the imaging process. The only thing they may notice is the positioning of the device near their mouth, which our team handles gently and carefully.
The imaging itself takes only a few seconds per X-ray. The full appointment, including preparation and results review, usually takes around 15 to 30 minutes depending on how many X-rays are needed.
We work with anxious and nervous children every day. Our team is specially trained to help children feel comfortable and calm. We go at your child's pace and never rush the process. If your child needs extra reassurance, we are happy to take as much time as needed.
We work with many insurance plans. We recommend calling our Lafayette office before your appointment so we can help you understand your coverage and any out-of-pocket costs.
If you are looking for a trusted, child-friendly dental office in Lafayette for your child's dental X-ray, Dr. Leslie Jacobs Pediatric Dentistry is here to help. We combine gentle care, advanced technology, and a warm environment to make every visit a positive experience for your child and for you.
Give your child the healthy start they deserve.
Call us today or fill out our online form to book an appointment. Our friendly team is ready to answer any questions you have.

Dr. Leslie Jacobs specializes in pediatric dentistry and has extensive experience for children. Our entire team is trained to work with kids and make them feel safe and comfortable.
We understand that every child is different. We take time to understand your child's specific needs and fears. Our goal is to provide high-quality dental care while creating positive experiences.
Your child's safety and comfort are our top priorities. We follow strict safety protocols and monitor children closely throughout their visit.
Don't let worry keep your child from getting the care they need. We're here to help make every visit comfortable and stress-free.
113 Rue Fontaine, Lafayette, LA 70508, United States
113 Rue Fontaine, Lafayette, LA 70508, United States